Search

09 Dec 2025

‘Advocate for yourself’ – Mum told brain tumour could have been growing for 20 years after infrequent migraines in youth

‘Advocate for yourself’ – Mum told brain tumour could have been growing for 20 years after infrequent migraines in youth

A mother-of-two who was told her brain tumour “could have been growing for 20 years” after infrequent migraines since her youth, urged others to “be more assertive” and “advocate for themselves”.

Nikita Sterling, 39, based in Medway, Kent, had experienced migraines since she was 18, with visual disturbances and “intense pressure” headaches, but she never sought further help because they only occurred two or three times a year.

In October 2024 Nikita, a secondary school psychology teacher, noticed her migraines were happening more frequently, as much as every three weeks.

Her symptoms worsened until it felt like someone was “filling (her) head up with water” and she once “lost the ability to talk” at a parents’ evening.

At their worst, Nikita said her symptoms would cause her to “black out” and “wake up in a puddle of sick” – worrying her husband of nine years, Dean, 40, and her two children, Sebastian, eight, and Florence, five.

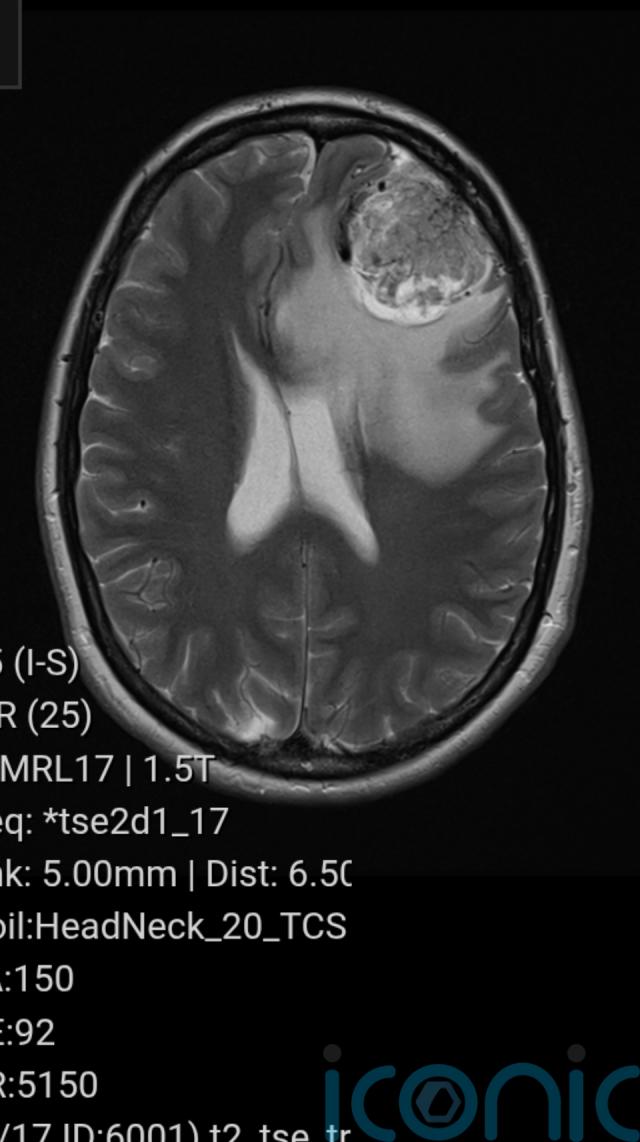
Nikita said she pushed for further answers but struggled to get a doctor to “listen” and so she paid £400 to have an MRI scan privately, which revealed a “large” tumour in her brain – the cause of her worsening symptoms.

Doctors suspected the mass “could have been growing for 20 years” without Nikita’s knowledge and after it was surgically removed and tested, it was diagnosed as a meningioma – a non-cancerous brain tumour.

Nikita now hopes she can help others to “advocate” for their health by sharing her story, and she wants to urge doctors to “listen to their patients”.

“If my story can help one person to advocate for themselves and be more assertive, that can only be a good thing,” Nikita told PA Real Life.

“Doctors need to listen to their patients and truly trust that they know their own bodies.

“I know they are rushed for time and have a million things to do but just listen – it could be the one thing that really makes a difference.”

Nikita has suffered with migraines since she was 18.

“They weren’t something I ever sought medical help for because I would have them two or three times a year,” she explained.

“It would last for eight to 12 hours and then it would fade away.”

Nikita described her migraines as “quite debilitating” however, and she would experience visual disturbances, numbness on the right side of her body, nausea and sickness, and “intense pressure” headaches.

“I remember at one point years ago, I was pulling my hair to try and relieve the pressure,” she said.

Despite the symptoms, Nikita said her migraines were “not ever really a problem” – until October 2024 when she noticed “significant changes”.

Nikita said they would occur “every three weeks” and she experienced increased pressure where it felt like someone was “filling (her) head up with water”.

Her symptoms started to disrupt her daily activities, and Nikita would have to take breaks while teaching her classes at school.

She visited her doctor, but said she was told they were “just migraines”.

Nikita realised something more serious was happening however when she suddenly “lost the ability to talk” at a parents’ evening in January this year.

“I just couldn’t think of the words I needed to say, it was really embarrassing,” she said.

Nikita said her symptoms worsened over subsequent months, but she struggled to get a doctor’s appointment or to “get a doctor to listen”.

In February 2025, she sought help from a private GP through her husband’s work insurance, and was referred to see a neurologist – with the earliest appointment in May.

“I thought I can manage until then, at least I know I will see someone,” she said.

Nikita’s symptoms took a turn however, and she said she would “black out” and “wake up in a puddle of sick” – and she stopped working because of her health.

Nikita said her sister pushed her to pay privately for an MRI scan, which cost £400.

“We were due to go on a big family holiday and she asked me to get one to check I would be safe to fly,” Nikita explained.

“Luckily, I could afford to pay but I just think there must be so many people that can’t afford to do that.”

Nikita had the MRI scan in April this year at a clinic in Maidstone, Kent, saying they phoned her just hours later to say she urgently needed to go to A&E.

The results of her scan were sent to Medway Hospital, where a doctor informed her there was a “large mass” on her frontal lobe, which was later diagnosed as a meningioma – a non-cancerous brain tumour.

“I broke down, it had taken so long to reach this point,” Nikita said.

“I was shocked at how big (the tumour) was, and all the extra white stuff around it on the scan was swelling, which was causing all my head pressure.”

Nikita said she was referred to King’s College Hospital in London, and they took on her case.

A neurosurgeon told her the best course of action was surgery to remove the tumour.

“They didn’t know what it was at that point, but the longer we left it, the more damage it could cause,” she said.

Nikita had a four-hour operation to remove the mass on April 22 this year – her husband’s 40th birthday.

“It was all much harder on my family than it was for me, I remember feeling really calm and safe, but I think I’d be an absolute mess if I had to watch my husband getting wheeled away,” she said.

Nikita said her young children “coped with it really well”, and they gave her their teddy bears to take with her into hospital.

The tumour was diagnosed as a meningioma, and doctors suspected “it could have been growing for 20 years”.

“I felt complete relief when I was told it was benign,” she said.

“This is the best outcome I could have received and I feel really, really lucky.”

Nikita said doctors were able to remove the tumour in its entirety, and she will have a six-month post-surgery scan in the coming weeks.

She said she has recovered well from the operation, but she now becomes fatigued more easily – which has been the “hardest thing to deal with”.

As for her migraines, Nikita said these have dissipated and her symptoms have eased.

If she starts to experience a visual disturbance, usually the first indication she is going to have a migraine, she can take medication which will “stop them in their tracks”.

She will also gradually phase back into teaching from September.

Nikita’s husband, Dean, is taking on the Climb the Capital challenge in October to raise money for The Brain Tumour Charity.

The feat involves tackling three of London’s skyscrapers – the Cheesegrater, the Scalpel and the Walkie-Talkie – in a challenging stair-climb.

To find out more about Dean’s challenge, visit his fundraising page here: givengain.com/project/dean-sterling-raising-funds-for-the-brain-tumour-charity

To continue reading this article,
please subscribe and support local journalism!


Subscribing will allow you access to all of our premium content and archived articles.

Subscribe

To continue reading this article for FREE,
please kindly register and/or log in.


Registration is absolutely 100% FREE and will help us personalise your experience on our sites. You can also sign up to our carefully curated newsletter(s) to keep up to date with your latest local news!

Register / Login

Buy the e-paper of the Donegal Democrat, Donegal People's Press, Donegal Post and Inish Times here for instant access to Donegal's premier news titles.

Keep up with the latest news from Donegal with our daily newsletter featuring the most important stories of the day delivered to your inbox every evening at 5pm.